တင်ႈတႄႇလိူၼ်မေႇမႃး ႁၢၼ်ႉတေႃႇထိုင် လိူၼ်ဢေႇပရႄႇလ်ၼႆႉ တီႈမိူင်းထႆး ႁူပ်ႉပၼ်ႁႃၾုၼ်ႇၵႂၼ်း PM 2.5 လူမ်းဢမ်ႇသႅၼ်ႈသႂ်လႄႈ ၵူၼ်းၸိူဝ်းသုတ်ႇၺႃးၾုၼ်ႇၵႂၼ်းၸၢင်ႈ ၸပ်းတၢင်းပဵၼ်ပွတ်ႇ ၼမ်တိူဝ်းလိူဝ် မႃးႁႅင်းတေႉတေႉ ၼႆယဝ်ႉ။
မိူဝ်ႈပူၼ်ႉမႃး ဝၼ်းတီႈ 17 လိူၼ်ဢေႊပရႄႇလ် တွၵ်ႊတိူဝ်ႊ Atikun Limsukon ၵႅမ်ပႃႇမွၵ်ႉၶ လႄႈ ၽူႈလူင်ႉလႅၼ်ႇ ၾၢႆႇယူတ်းယႃ တၢင်းပဵၼ်ၶိုၵ်ႉၶၵ်ႉ ႁွင်ႈၵၢၼ်ၾၢႆႇယႃႈယႃ ၸၼ်ႉ ၸွမ်ဝဵင်းၵဵင်းမႂ်ႇ ပိုၼ်ၽႄ ပိုၼ်ႉႁူႉ ၵဵဝ်ႇလူၺ်ႈတၢင်းပဵၼ်ပွတ်ႇ ဢၼ်ပဵၼ်မႃးယွၼ်ႉ PM 2.5 ၼၼ်ႉဝႆႉ ၼင်ႇၼႆ။
ၵူၼ်းၼုမ်ႇဢႃႇယု 19 ပီ ၶႅၵ်ႇမိူင်းၼွၵ်ႈၵေႃႉၼိုင်ႈ ၵေႃႉႁွတ်ႈမႃးတွင်ႈတဵဝ်း ဢႅဝ်ႇယဵမ်ႈ ၼႂ်းၸႄႈဝဵင်းမိူင်းပၢႆး လႄႈ ဝဵင်းၵဵင်းမႂ်ႇသေ ၸပ်းတၢင်းပဵၼ်ပွတ်ႇၵႂႃႇႁၢဝ်ႈႁႅင်း ။
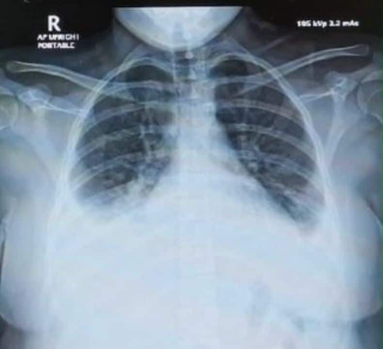
လႆႈႁူႉဝႃႈ ၵူၼ်းၼုမ်ႇၵေႃႉၸပ်းတၢင်းပဵၼ်ပွတ်ႇသေ လႆႈၵႂႃႇယူတ်းယႃတူဝ်ၼၼ်ႉ ဢမ်ႇၸႂ်ႈၵူၼ်းလုတ်ႇလႅၼ်းယႃႈ ဢမ်ႇတွၼ်ႉမီးတၢင်းပဵၼ်ၸပ်းတူဝ်မႃးၶၢဝ်းႁိုင် (နာတာရှည်ရော ဂါ) သေ ၵိုင်ႉၵၢင်ႉထူၺ်ႈၸႂ်ၵပ်ႉ ၵႂႃႇသေ လႆႈၵႂႃႇသမ်းၶဵမ်ယႃၶႃႈမူင်ႈမႅင်း လႄႈ ယူတ်းယႃ (steroids) ၶိုၼ်း ၼႆယဝ်ႉ။
ယၢမ်းလဵဝ် ၵူၼ်းၼုမ်ႇၵေႃႉၼၼ်ႉ ယူႇသႃႇမႃးၶိုၼ်းယဝ်ႉသေတႃႉ မေႃယႃၶဝ်ၵူတ်ႇထတ်းႁၼ်ဝႆႉ မီးၵွၼ်ႈလိူတ်ႈၶၢဝ်ၼမ်ဝႆႉ။ ၾၢႆႇၼိုင်ႈၵေႃႈ မၼ်းၸၢႆး ၵိုင်ႉၵၢင်ႉ သုတ်ႇၺႃးသႅဝ်ဢၢႆလူမ်း ဢၼ်မီးၵွင်ႉၾုၼ်ႇၵႂၼ်း PM 2.5 ၼမ်ႁႅင်းလူၼ်ႉၵႂႃႇလႄႈ လႆႈၸပ်းတၢင်းပဵၼ် ပွတ်ႇၵႆႈ (acute eosinophilic pneumonia) ၵႂႃႇ ၼႆယဝ်ႉ။
မေႃယႃသပ်းၸႅင်ႈၼႄဝႆႉဝႃႈ တၢင်းပဵၼ်ပွတ်ႇၼႆႉ ၵူၼ်းၸိူဝ်းဢမ်ႇသူႇဢမ်ႇလုတ်ႇလႅတ်းယႃႈၵေႃႈ ၸပ်းတၢင်း ပဵၼ်လႆႈယူႇ ၼႆယဝ်ႉ။
ယၢမ်းလဵဝ် ၼႂ်းၸႄႈဝဵင်းၵဵင်းမႂ်ႇၼႆႉ ၾုၼ်ႇၵႂၼ်း PM 2.5 ၼမ်လူၼ်ႉႁႅင်းမႃးၵူႈမိုဝ်ႉၵူႈဝၼ်း ၾူၼ်ဢမ်ႇတူၵ်းပၼ် ႁႂ်ႈၽတ်ႉၽဵင်ႇလႄႈ ၸွမ်းသၼ်ႇႁုတ်ႈႁၢဝ်းလွႆၵေႃႈ ပဵၼ်ဝႆႉၾုၼ်ႇ ၵႂၼ်းႁူမ်ႇသေ မိူင်းမူဝ်းလူင်ၵႂႃႇတင်းသဵင်ႈ။
















ဢၢၼ်ႇယဝ်ႉႁူမ်ႈပၼ်တၢင်းႁၼ်ထိုင်တီႈၼႆႈ